新大塚・大塚の歯医者

〒170-0005 東京都豊島区南大塚2-3-20
アーバンビュー新大塚プラタナス通り101
東京メトロ新大塚駅より徒歩5分/
JR大塚駅より徒歩10分

診療時間
10:00~13:00 × ×
14:30~19:00 × ×

△:14:30~17:00
休診日:木曜日・日曜日・祝日

むし歯の治療

むし歯の治療・オーバートリートメントとは?

むし歯の治療

Co
経過観察及びシーラントフッ素塗布
C1 
シーラントフッ素塗布、少し深くなり始めればコンポジットレジン充填など。
C2 
コンポジットレジン充填インレー(ハイブリッドセラミックインレー・メタルインレー)クラウン(セラミック・メタルクラウン)
C3
根管治療の上修復
C4 
抜歯となることが多いです。

虫歯(ウ蝕)

ウ蝕の原因も細菌によります。糖分を栄養にしてウ蝕原因菌が酸を放出するのです。

糖分摂取から5分ほどでプラーク内のpHが5.0になり歯が溶けるpHになってきます。

以上の理由により虫歯にしないためには食後すぐ歯磨きをする、間食は時間を決めだらだら食べないなどが必要です。

▼だらだら食べていると・・・

ウ蝕にならないために

  1. 歯の抵抗力を高める
    →フッ素の応用、シーラント(予防充填)処置
  2. 細菌を減らす
    →ブラッシング
  3. 砂糖を減らす
    →シュガーコントロール、キシリトール

オーバートリートメント

なんでもかんでも削って治すという一昔前の治療はオーバートリートメントと言えるでしょう。できるだけ削る量は少なく・神経は温存するのが良いですが、必要な虫歯治療や神経の治療はオーバートリートメントとは言いません。

  1. 歯周病で揺れている歯の揺れを隣の歯と削って金属で連結固定することで抑える治療(治療直後は噛めるようになりますが、近いうちにその固定された歯も力負けして揺れ始めるでしょう)
  2. 過重負担のブリッジ(支える歯よりダミーの数が多い、後ろへ伸ばす延長ブリッジ) 
  3. 美容歯科などの広告でもみられますが、数回で歯並びを治すというものは健康な歯を削ったり神経を取ったり抜いてしまいブリッジや連結した被せもので治療するというものです。またこのような治療はオーバートリートメントなばかりではなく、見た目を重視するばかりに清掃性の悪い(歯ブラシのしにくい、プラークのたまりやすい)ものであることがほとんどです。
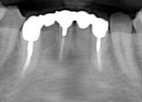
過重負担のブリッジ

右下 7 番(第二大臼歯)から左下 3 番(犬歯)までの 10 本の歯を 4 本の根でささえています。このような場合、完全に支える根の強度不足により、歯根破折あるいは根周囲の骨吸収が急激に生じる(咬合性外傷)可能性があります。

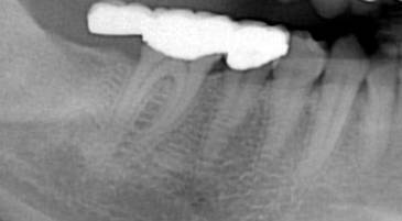
延長ブリッジ

右下 7 番(第二大臼歯)欠損に対してのブリッジです。この患者さんの口腔清掃状態やこのブリッジの前方の歯にほとんど虫歯のないことから、ブリッジの支えとなっている 5 番(第二小臼歯) 6 番(第一大臼歯)もほとんど虫歯が無かったのではないかと考えられます。しかし、 7 番へ歯を入れるためだけに、その神経の生きている歯を大きく削りブリッジにしてあります。

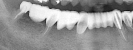
美容歯科(クイック矯正)ブリッジ

おそらく叢生(歯が重なって生えている)があったと考えられます。右下 2 番(側切歯)は抜歯されています。また支えとなっている歯 4 本のうち 3 本は神経を取っています。歯の角度を変えるためには大きく削りますがそのために神経を取る必要があったのかもしれません。抜歯された部分は歯を配列するスペース確保のためでしょうか。 写真の赤↓のある部分が抜歯された部分でダミーが入っています。このダミー部が清掃性不良でダミーの下は腫れた歯肉で塞いでいます。少しさわるだけで出血があります。

パソコン|モバイル
ページトップに戻る