新大塚・大塚の歯医者

〒170-0005 東京都豊島区南大塚2-3-20
アーバンビュー新大塚プラタナス通り101
東京メトロ新大塚駅より徒歩5分/
JR大塚駅より徒歩10分

診療時間
10:00~13:00 × ×
14:30~19:00 × ×

△:14:30~17:00
休診日:木曜日・日曜日・祝日

歯周病治療8週間プログラム
徹底的に治したい方・重度の方向け

歯周病治療 8 週間プログラム
"オリジナルブラッシングシステム"

歯肉炎・歯周病は歯周病原菌が原因の細菌感染症であり、生活習慣病であります。歯周病原菌を抗生物質やうがい薬などにより、一時的に減少させることはできます。ただし、あくまでも一時的なもので時間と共にまた増えていきます。毎日のブラッシング(適切なブラシ当て)と定期健診が歯周病の進行を止める方法です。 

当院の歯周病治療は担当歯科衛生士により、歯表面のクリーニングだけでなく歯周ポケット内に付着したプラークや歯石適切な器具(超音波スケーラーのみならずキュレットも)用い除去し、腫れている歯ぐきやブヨッとしている歯ぐきを引き締めるために適切なブラシを選び歯肉を治すブラシの使い方をお話しさせていただきます。このブラッシング方法は当院独自の方法で歯周病症状改善にたいへん効果があります。

炎症のある歯肉・ポケットをさわっていくため、この治療はブロック毎に行います。歯の残りの本数がほとんどある方の場合 6 分割となります。(その都度ブラシの使い方はお話しします)また最後のチェックとして歯間ブラシなどの補助道具の使い方もお話しさせていただきます。このころになるとかなり歯肉や歯間部が引き締まり、最初確認しにくかった小さな虫歯や修復物の不適合も見えてくることがありますので、 Dr が確認し患者さんにご説明します。

それでも痛み違和感(炎症)が改善しない歯肉の部位にはフラップ手術や歯肉切除術などの歯周外科手術を行うことがあります。

当院にかかられた方の声として、

  •  10 年前にこのブラシの方法を知っておきたかった。そうすれば抜かずにすんだのに…
  • いままでは数ヶ月に 1 回はどこか腫れたり膿が出たりしていたが、当院にかかるようになってからそういうことがなくなった。
  • 歯肉が引き締まって歯の揺れが減りしっかり噛めるようになり、食事が美味しく感じる。
  • 他院で抜歯を宣告されたが、抜かないで持っている。

というのがあります。

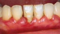
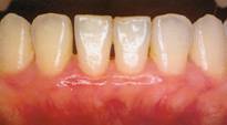
歯周病治療前
歯周ポケット内の歯石除去と適切なブラシ当て後

歯の生え際(根元)の部分は細くなっているところですので、歯石がなくなり炎症のある歯肉が治って引き締まると小さく隙間があきます。この写真のように引き締まって隙間がある状態が健康な歯肉なのです。

やはぎ歯科クリニック における歯周病治療よくある Q & A

治療期間

ほとんど歯の欠損がない場合 6 ブロックに分け歯周ポケット内も歯石除去を行い、チェックが 1 ~ 2 回ほどあります。チェックのときには歯間ブラシなどの補助道具についてもお話します。予約期間は炎症のある歯肉を触りますので原則的に一週間に 1 回ごととなります。(欠損歯が多いと回数が減ります)

歯周病改善のブラシ当てがめんどうなのですが…

腰痛や肩こりがあれば自宅で体操したり揉んだりすると思います。血中のコレステロールが高かったり、高血圧、糖尿があれば食事療法をすると思います。これらと同じようにブラシ当ては歯周病改善のため重要な自宅療法となります。こちらでお出しする歯ブラシは治療道具と思ってください。普段朝やお昼の時間の無いときに行う歯ブラシ(普段磨き)はこすりすぎないように簡単に済ませていただいてかまいませんが、一日一回歯周病改善のためのブラシ当てをしてください。もしある日忘れてしまっても翌日しっかり一回していただければ大丈夫です。

1、2 回で簡単に治せないの?

歯周病はお口の中の生活習慣病であり、歯肉炎や歯周病になってしまったのは数日ではなく、月単位あるいは年単位で進行してきたものですので、適切なブラシ当てをしていただきながら上記のような治療をすすめていく必要があります。

一回(1日)の費用は?

保険適応です。 3 割負担の方ですとおよそ1500円以内となります。レントゲン撮影などがある場合この限りではありません。(本数や部位などにより異なります、またブラシをお買い求めいただいたときも変わります)

なぜ電動ブラシを使わないの?

電動ブラシは歯の表面のプラークや着色を落とすには磨く力が強く適していますが、ブラシを当てる前から振動しているため、歯肉に細かい傷をつくります。磨く力が強いため上手く使わないと歯の根元を極端にすり減らしてしまうことがあります。このため電動ブラシはお勧めしません。

(一部例外として、手が不自由な方のご自身での普段磨き用としてはお勧めしています。また喫煙やお茶コーヒーを良く摂る方で着色しやすい方の磨き用としてもお勧めします。)

歯周外科手術はしないの?

歯周基本治療を行い、チェックの上歯周病の症状改善が不十分なところにはご説明の上、フラップ手術・歯肉切除術などを行うことがあります。お口の中の歯石を取り、細菌数も減ってからの手術です。レーザーを使っての手術ですと傷は最小限で済みます。治りも非常に早く、痛みも少ないです。

どうしても歯を抜きたくないのですが…

残念ながら極端に症状が進行してしまった歯については抜くことがあります。

歯周病の治療(軽度)

症例1 主訴:歯石が気になる。

患者さんは歯肉の炎症症状はさほど気になっておらず歯石除去希望で来院されましたが、診査してみると歯間部や歯の裏に歯石を認め歯間乳頭(歯と歯の間の歯肉)が炎症によって伸びてしまっています。歯石除去と歯肉を改善させるブラシ当てによって、歯肉が引き締まり歯間乳頭が適切な長さになり風通しの良い形に治ってきました。

術前 1
術後 1
術前 2
術後 2

症例2 主訴:歯ブラシで出血する

症例1より歯石の量が多いのもわかりますが、歯肉が腫れ歯間乳頭はぷっくりと丸く赤紫色の強い色合いの歯肉です。色むらもあります。ポケット内の歯石除去と歯肉を改善させるブラシ当てによって、歯肉が引き締まり歯間乳頭が適切な長さになり風通しの良い形に治ってきました。

術前
術後

歯周病の治療(中度)

症例1 主訴:少し歯が動いてきた。冷たいもので凍みることがある。

一部の歯には歯肉の退縮がみられそれによって知覚過敏(冷たいものがしみる)症状が出ています。磨きを強く続けるとさらに退縮させてしまうことがあるので、歯周病治療は歯石除去のみならず、適切なブラシの使い方をする必要があります。

術前
術後

症例2 主訴:強く噛むと違和感がある。

全体的に歯石を認め歯肉に炎症があり歯周ポケットも深くなり始めています。このため噛んだときに違和感を感じる、歯肉がむずがゆい感じがあるなどの症状が出ています。ポケット内の歯石除去と歯肉を改善させるブラシ当てによって、歯肉が引き締まり歯間乳頭が適切な長さになり風通しの良い形に治ってきました。

術前
術後

歯周病の治療(重度)

症例1 主訴:腫れて痛い。

痛みを伴う歯肉だったため、余計にブラシを当てられなくなってしまったようです。歯石も多く炎症も強く出血もあります。ポケット内の歯石除去と無理のない範囲で構いませんので適切なブラッシングをしていくとしっかり歯肉の炎症が引き改善してきます。 急性炎症が強い場合まず洗浄・消毒、レーザー照射あるいは投薬によって初期治療を行う場合があります。

術前
術後

症例2 主訴:歯肉から多量に血が出る。

少し歯肉を触るだけで、多量に出血してきました。ポケット内の歯石除去と歯肉を改善させるブラシ当てによって、歯肉が引き締まり歯間乳頭が適切な長さになり風通しの良い形に治ってきました。

術前
術後
パソコン|モバイル
ページトップに戻る