新大塚・大塚の歯医者

〒170-0005 東京都豊島区南大塚2-3-20
アーバンビュー新大塚プラタナス通り101
東京メトロ新大塚駅より徒歩5分/
JR大塚駅より徒歩10分

診療時間
10:00~13:00 × ×
14:30~19:00 × ×

△:14:30~17:00
休診日:木曜日・日曜日・祝日

入れ歯(義歯)

入れ歯(義歯)といってもさまざまな種類があります。

入れ歯(義歯)

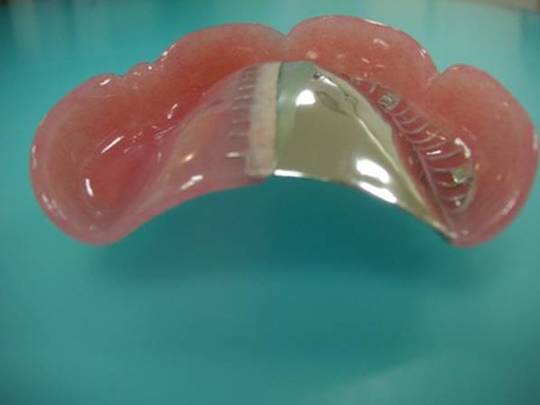
保険治療の義歯はレジン床のため厚みが気になったり食べ物や飲み物の温度感覚がわからなかったりします。

金属床義歯を使用することで、違和感の少ない強度にも優れた義歯が作成可能です。

金属床とレジン床の厚みの違いの模型

入れ歯(義歯)が合わない理由

義歯を支える土手(歯肉とその下の顎の骨)と義歯との間に隙間がある。

人工歯がすり減り噛み合わせにズレが生じている。

金属床義歯の場合、保険のレジン床義歯より精密な型取りを行いレジン床義歯の人工歯よりも固いものを用いますので、使い心地がよく強度に優れ、使用期間も長くできます。

比較表

  レジン床(保険) 金属床(保険外)
型取り アルジネートによる簡単なもの シリコン等を用いた精密なもの
人工歯 すり減りやすい 固いすり減りにくい
クラスプ
(バネ)
針金による簡単な設計 自由な設計・複雑な形態可能
強度 真ん中で割れることがある 真ん中で割れることはない
厚み 強度確保のために厚くなる 薄く作り違和感を少なくできる

金属床義歯の治療の流れ

  1. 簡単な型取り
  2. 精密な型取り
  3. メタルフレーム(金属部分)の試適(フィットチェック)
  4. 義歯の高さを決める(咬合採得)
  5. 人工歯の並びのチェック
  6. 仕上げ・完成

(③と④を同時に行うことがあります)

パソコン|モバイル
ページトップに戻る