新大塚・大塚の歯医者

〒170-0005 東京都豊島区南大塚2-3-20
アーバンビュー新大塚プラタナス通り101
東京メトロ新大塚駅より徒歩5分/
JR大塚駅より徒歩10分

診療時間
10:00~13:00 × ×
14:30~19:00 × ×

△:14:30~17:00
休診日:木曜日・日曜日・祝日

歯周病と抜歯

重度の歯周病により残念ながら抜歯になることがあります。

歯周病の予防

症例1

長期に渡る清掃不良のため、根元に真っ黒な歯石が厚く付着しています。左下 1 番(向かって右の歯)は完全に位置がずれ浮いてしまっています。

左の写真のレントゲン像です。右下 2 番から左下 2 番は抜歯となりました。右下 3 、 4 と左下 3 、 4 は辛うじて保存可能でした。

症例2

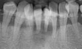
一番奥の歯が完全に浮いて噛めなくなっています。

左の写真のレントゲンです。奥から 2 番目の歯は動揺がそれほどありませんでしたので、ポケット内の歯石除去を徹底し、根管治療の上保存しました。

症例3

ブリッジの支えになっていた奥歯です。歯肉、骨ともに吸収が大きいです。金属で連結されているため、患者さんご自身は動揺に気づかないことがあります。ブリッジは過重負担(力負け)して歯周病の骨吸収が急激に重度となることがあります。

左の写真のレントゲン写真です。

パソコン|モバイル
ページトップに戻る